
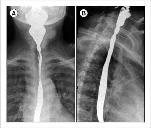
I had to take Andrew to have a Barium Swallow Test this week. It was yet another test tied to the laryngomalacia. Since he had his surgery, it seems like he is having trouble swallowing food and drink. If you’ve never had one of these, I don’t recommend them. I had one done some time ago and the barium is very thick and “chalky.”
Ella got to have a sleepover at Nana’s house the night before, because we had to be up early to be on the road. Andrew woke up in a good mood, and early enough where I was able to give him some milk before the drive. He was not supposed to have any food or drink three hours prior to the test. We were worried about him being hungry, but he slept the entire way down.

We were the only ones in the waiting room. Every time he heard someone at the registration desk, he’d walk over that way to see who was talking. It didn’t take long to get called back, and he was fairly calm.
When we walked into the testing room, I thought for sure he was going to begin to freak out. They had me sit him in a chair, which he was strapped into. They then pulled down the “camera/x-ray” machine along side of him. They made me put one of those x-ray vests on and I stood in front of him.

We were told to bring stuff for him to eat and drink, but they had an applesauce and crackers there for him. I had brought applesauce, fruit loops, and some other things for him. They mixed the barium with applesauce and I gave him a few spoons of that. Then we added fruit loops to it and he ate a bit more. Then they added some barium to his sippy cup and had him drink from it.
And just like that, the test was over. There was a doctor there monitoring things as the test was in progress. He told me that Andrew was not aspirating and all looked good. I was relieved. Since the test was over quicker than I anticipated, we walked to the food court and I bought us cookies!

Now that this test is over, we’ll probably have another sleep study done to see if the procedure helped with his sleep apnea. I’m hoping so!
As we head into the holiday season, I am excited to see what kind of mischief my two little elves will be causing …

so glad it all went well and the results were what you hoped for
LikeLiked by 1 person
So glad it went ok Keith… looks like he likes his cookies!
LikeLiked by 1 person