
I am not a fan of the dentist. I really hate going. Every time I go, I feel like I am dropping a ton of cash – even with insurance!
The last time I went to the dentist was three years ago. I am not proud of this. The last time I went, I blogged about it here:
If I am being honest, if it wasn’t for the fact that Ella and Andrew had appointments on the same day, it would have been longer. While we were there with the kids, Sam said, “You are over due for a cleaning. You should make an appointment while we are here.” So I did.
I had my appointment this week. The funny thing is that they never did clean my teeth!
First, they came in and updated all my medical history and medications. Then they came in and did the standard X-Rays. You know, where they make you bite that thing and point the machine at your cheek. After that, they told me they wanted to do a 3-D scan of my teeth.
They took this wand-like thing and spent some time running it over my teeth. You end up getting a picture that looks something like this:

Of course, those teeth look a lot better than mine.
They can look at just the top teeth or the bottom teeth. They can twist it and turn it around on the screen and see behind them and everything. It was pretty cool.
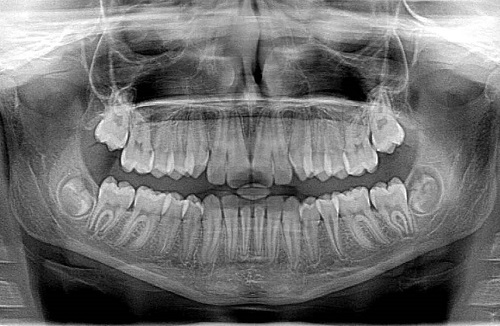
Then they took me out in the hallway and had me sit in a chair. They strapped my head to this thing and took what they called a panoramic X-Ray. The machine spins around in front of you and you have to hold still while it does its thing. It was weird.

The final result is something like this:

When the dentist finally came in to talk to me, I had been there an hour and a half. My teeth have never been straight. My two front teeth overlap and when I played trumpet in high school, I always played off to the side because of it.
He told me that my teeth look good “especially since it has been three years.” He suggested that my mouth would be healthier if I did something about the crooked and crowded teeth. Perhaps some of those Invisalign braces. I told him I would entertain the idea, but I know that it will cost me a pretty penny.
My teeth need a “deep cleaning” because of some bone loss. So I have to go not once, but twice! 90 minute visits! They will do one side on my first visit and the other on my next visit. While I am there for one of the visits, they will remove an old filling and put in a new one. I will need to be numbed up for both cleanings. URGH!!!
$$$$$ $$$$$ $$$$$

I guess after three years, they needed to recoup some of the money they hadn’t gotten from me!
Thankfully, my first of the two cleanings isn’t until February …
Why not close this blog with another great dentist joke?
Martin and his wife walk into a dentist’s office. He says to the dentist, “Doc, I’m in one heck of a hurry I have three buddies sitting out in my car waiting for us to play golf, so forget about the anesthetic, I don’t have time for the gums to get numb. I just want you to pull the tooth, and be done with it! Today is Friday and we have a 10:00 AM tee time at the best golf course in town and it’s 9:15 already… “.
The dentist thought to himself, “My goodness, this is surely a very brave man asking to have a tooth pulled without using anything to kill the pain.”
So the dentist asks him, “Which tooth is it sir?”
Martin turned to his wife and said, “Open your mouth and show him dear…….”
yikes! I have dental fear, so my cleaning appointments/checkups always are full of worry for me -)
LikeLiked by 1 person
I really need to take a valium before going!
LikeLiked by 1 person
That’s a good dentist joke. I am way overdue as well so thanks for the reminder.
LikeLiked by 1 person
I hope you have better luck at your visit than I did. :-)
LikeLiked by 1 person
I would love it if I never had to go to the dentist again. My dentist knows I am a HUGE baby and so they are very gentle with me, but still it is always a happy moment when it is done. Two 90 minute cleanings sounds awful. Same with replacing the filling. I hope it goes as painlessly as possible for you.
LikeLiked by 1 person
They already know that they will need to numb me up – AND give me some of that gas!!
LikeLiked by 1 person
Fun post. However, in fairness…some of my best friends are dentists. In fact, we live next to a dentist office!
LikeLiked by 1 person